猫の鼻腔内腺癌(CT検査編)

症例報告(高橋雅弘)

高橋ペットクリニック CT検査ケースより

猫 14歳齢 が鼻づまり鼻出血そして鼻汁を呈してCT検査を実施しました!!

CT検査所見です。
鼻腔内には腫瘍が充満しており、左眼窩骨(目と鼻を区切る骨)が溶けていて眼窩内(目がおさまってる空間)に浸潤(侵入)しています(赤の斜線部分)。そのため左目は外側に押されています!!↓↓


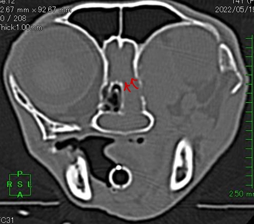
さらに脳と鼻を区切る骨(篩板)も溶けていて頭蓋内浸潤も疑われました(赤矢印)。↓↓



鼻腔内疾患は、X線検査や超音波検査では十分な検査ができません。
CT検査が得意とするところです!!
CT検査で病変が見られたら、内視鏡検査を実施します!!

2022年6月14日火曜日午前中は院長不在です。
よろしくお願いします!!